Otite media acuta
Otite Media Acuta in età pediatrica: diagnosi, terapia e prevenzione
Piercarlo
3/29/20254 min leggere
L’otite media acuta (OMA) è una delle infezioni più frequenti in età pediatrica, rappresentando una delle principali cause di prescrizione antibiotica nei bambini sotto i 5 anni. Una gestione aggiornata e razionale, basata su criteri clinici solidi, consente di ridurre il sovratrattamento, migliorare l’appropriatezza terapeutica e limitare l’antibiotico-resistenza.
📌 Definizione e presentazione clinica
L’OMA è un’infezione acuta dell’orecchio medio, solitamente di origine batterica, caratterizzata da:
• esordio acuto dei sintomi (dolore, febbre, irritabilità, otorrea),
• segni obiettivi di infiammazione della membrana timpanica (iperemia marcata, estroflessione),
• presenza di essudato endotimpanico (MT sporgente o otorrea da perforazione spontanea).
La sola iperemia della MT, la perdita del triangolo luminoso o la retrazione timpanica
non sono sufficienti per la diagnosi e indicano più probabilmente un’otite media effusiva (OME).
Nei bambini sotto i 2 anni l’otalgia può non essere riferita chiaramente. L’irrequietezza notturna,
lo sfregamento dell’orecchio o il rifiuto dell’alimentazione sono segni indiretti utili.
🔬 Diagnosi: strumenti e criteri
L’otoscopia pneumatica è lo strumento diagnostico di riferimento (raccomandazione forte). Permette la valutazione della mobilità timpanica, elemento chiave nella diagnosi differenziale con l’OME. In assenza, può essere utile l’impedenzometria.
La descrizione dell’otoscopia dovrebbe includere:
• integrità della MT,
• posizione, colore, trasparenza, luminosità,
• mobilità timpanica (normale, ridotta, assente).
La presenza di otorrea non secondaria a otite esterna con MT perforata è da sola sufficiente a porre diagnosi di OMA.
💊 Terapia: quando antibiotico e quando no?
Il trattamento dell’otalgia è sempre raccomandato nelle prime 48 ore con paracetamolo (15–20 mg/kg ogni 6–8h) o ibuprofene (10 mg/kg ogni 6–8h). Gli analgesici topici non sono raccomandati, soprattutto in caso di timpano perforato.
✅ Antibiotico immediato:
• Età < 6 mesi
• OMA con otorrea
• OMA bilaterale nei 6–24 mesi (lieve o grave)
• OMA monolaterale grave in tutte le età
• Pazienti a rischio (sindromi genetiche, fibrosi cistica, immunodeficienze, etc.)
🕒 Vigile attesa (48–72h):
• Età > 2 anni
• OMA lieve, monolaterale o bilaterale, in assenza di otorrea
• Famiglia collaborante e possibilità di follow-up ravvicinato


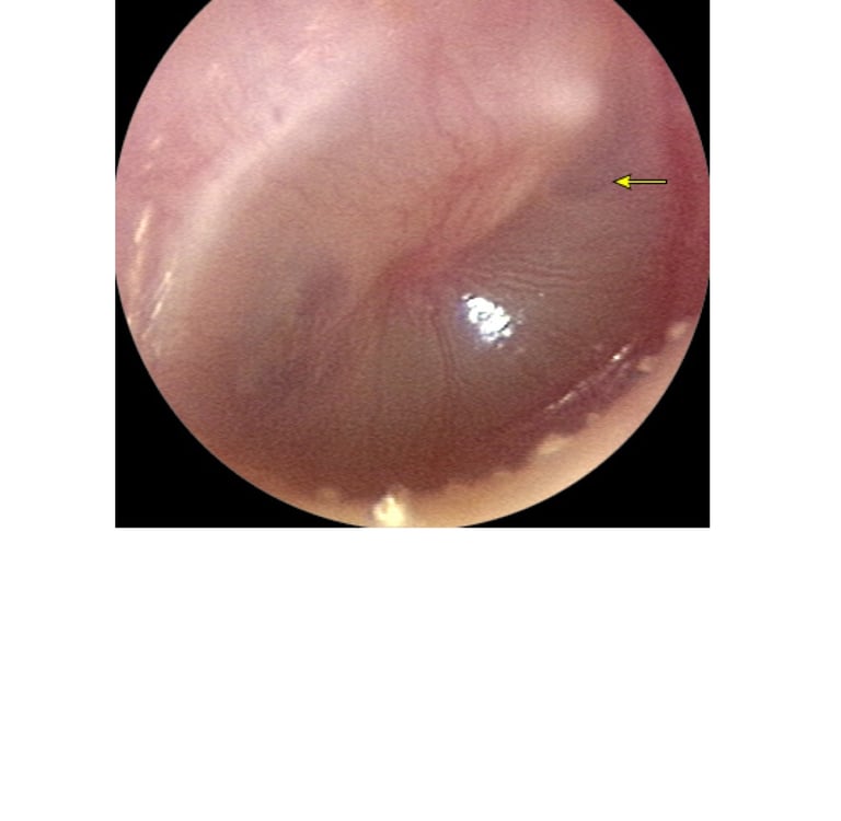
A. Otite media acuta precoce con infiammazione.
B. Versamento purulento con livello di aria e liquido.
C. Versamento purulento sporgente che riempie l'orecchio medio.
Otite media acuta effusiva, che cosa è?
💊 Quale antibiotico? E in che dose?
Amoxicillina resta l’antibiotico di prima scelta per efficacia, sicurezza e palatabilità. In presenza di fattori di rischio per patogeni beta-lattamasi produttori (es. terapia antibiotica recente, congiuntivite purulenta, comunità infantile), è preferibile l’associazione amoxicillina + acido clavulanico.
Dosaggi consigliati:
• Amoxicillina 80–90 mg/kg/die (due o tre dosi)
• In Italia, attenzione al carico di acido clavulanico nella formulazione 7:1: rischio aumentato di disturbi gastrointestinali sopra i 10 mg/kg/die.
In caso di fallimento terapeutico:
• Cefalosporine orali (es. cefpodoxime proxetil 10 mg/kg/die)
• Ceftriaxone IM per 3 giorni se fallimento documentato con antibiotici orali
• Macrolidi solo in caso di allergia IgE-mediata alle penicilline (es. claritromicina 15 mg/kg/die), pur con efficacia limitata
Durata della terapia:
• 10 giorni in età < 2 anni, OMA bilaterale o con otorrea
• 5 giorni nei bambini > 2 anni, forme monolaterali lievi e senza otorrea
🔄 Follow-up
Un controllo clinico tra 2 e 7 giorni dalla fine della terapia è utile per intercettare fallimenti terapeutici e recidive precoci. In caso di persistenza dei sintomi, rivalutare la scelta antibiotica o considerare una diagnosi differenziale (OME, mastoidite, otite virale).
🚫 Cosa evitare?
Non sono raccomandati:
• profilassi antibiotica (se non in casi selezionati),
• vitamina D, probiotici, xilitolo, terapie complementari
• steroidi e decongestionanti nasali, topici o sistemici
🛡 Prevenzione
• Vaccinazione antipneumococcica e antinfluenzale
• Allattamento al seno esclusivo per almeno 6 mesi
• Limitare l’uso del succhiotto dopo i 6 mesi
• Evitare fumo passivo
• Igiene respiratoria e ambientale
In Italia, la prevalenza di resistenza dello Streptococcus pneumoniae all’amoxicillina è bassa, ma in aumento negli ultimi anni.
🔬 Dati aggiornati:
Secondo gli ultimi rapporti dell’Istituto Superiore di Sanità (ISS) e dell’ECDC (Centro Europeo per la Prevenzione e il Controllo delle Malattie):
• Resistenza allo pneumococco:
• Amoxicillina: resistenza <5% nei ceppi non invasivi (come quelli isolati da otite)
• I ceppi resistenti alla penicillina (inclusa amoxicillina) sono rari, ma più frequenti nei bambini piccoli e nei non vaccinati
• La resistenza è più comune nei ceppi non sensibili alla penicillina (PNSP), associati spesso a recidive, uso frequente di antibiotici o ambiente comunitario (es. nidi, scuole)
💊 Amoxicillina (80–90 mg/kg/die in 3 dosi)
✅ Indicata quando:
• Sintomi lievi
• Assenza di otorrea
• Non è una recidiva
• Assenza di fattori di rischio per resistenza batterica:
• Frequenza di comunità infantile
• Mancata vaccinazione antipneumococcica
• Provenienza da aree con alta prevalenza di batteri resistenti
💊 Amoxicillina + Acido Clavulanico (80–90 mg/kg/die riferiti all’amoxicillina, in 3 dosi)
✅ Indicata quando:
• Sintomi gravi (es. febbre alta, dolore severo)
• Presenza di congiuntivite purulenta
• Otorrea
• Recidiva
• Presenza di fattori di rischio per resistenza batterica (vedi sopra)
Otite Media Effusiva (OME): terapia e gestione
L’Otite Media Effusiva (OME) è una condizione frequente in età pediatrica, caratterizzata dalla presenza di liquido nell’orecchio medio senza segni di infezione acuta (quindi senza febbre, dolore acuto o otorrea).
🎯 Obiettivo del trattamento
Lo scopo non è l’uso immediato di antibiotici, ma la valutazione dell’evoluzione naturale e il recupero della funzione uditiva, fondamentale nei primi anni di vita.
📅 Quando trattare e quando osservare
🔹 Osservazione vigile
• La maggior parte dei casi si risolve spontaneamente in 2-3 mesi.
• In assenza di segni di infezione acuta o di compromissione uditiva/language delay, è indicato non trattare ma monitorare.
🔹 Indicato il trattamento o la valutazione ORL se:
• OME persistente oltre i 3 mesi
• Presenza di ipoacusia documentata (> 20-30 dB)
• Ritardo nel linguaggio o apprendimento
• Presenza di patologie predisponenti (es. palatoschisi, sindrome di Down)
• Orecchio “colloso” bilaterale recidivante
💊 Farmaci e interventi: cosa dicono le linee guida
🔸 Antibiotici:
• Non raccomandati di routine
• Possibile uso in bambini selezionati con OME persistente e associata a episodi ripetuti di OMA
🔸 Corticosteroidi sistemici o spray nasali:
• Non raccomandati come terapia standard
• Possibile uso transitorio in presenza di rinite allergica o ostruzione tubarica documentata
🔸 Antistaminici / mucolitici / decongestionanti:
❌ Non efficaci secondo le linee guida e non raccomandati
🔸 Terapie termali, insufflazioni tubariche:
• Utilizzate in alcuni contesti, ma evidenza scientifica limitata
🔸 Ventilazione tubarica (tubicini / T-tubes):
• Indicata nei casi di OME persistente oltre 3 mesi con ipoacusia significativa
• Può essere accompagnata da adenoidectomia, soprattutto se ci sono ostruzioni o infezioni ricorrenti
📌 Follow-up
• Osservazione clinica ogni 3 mesi fino a risoluzione
• In caso di dubbi uditivi: valutazione audiometrica
• Coinvolgimento dello specialista ORL se indicato
🧠 Ricorda:
L’OME è spesso asintomatica, ma in età prescolare può avere un impatto importante sullo sviluppo del linguaggio. Per questo è fondamentale non trascurarla, ma neppure trattarla in modo eccessivo.



